九州大学大学院 医学研究院 形態機能病理学

DEPARTMENT OF ANATOMIC PATHOLOGY, PATHOLOGCAL SCIENCES, GRADUATE SCHOOL OF MEDICAL SCIENCES, KYUSHU UNIVERSITY

ホーム研究・業績婦人科腫瘍の研究

婦人科腫瘍の研究内容

婦人科グループ

2018年8月28日公開 2026年1月31日更新

エピゲノム・エピトランスクリプトーム異常の解析

癌肉腫のエピゲノム異常の解明

子宮・卵巣癌肉腫は、上皮性癌と間葉系悪性腫瘍である肉腫成分が混在する高悪性度腫瘍です。5年生存率は約30%と予後不良であり、新たな標準治療法の確立が急務となっています。
子宮・卵巣癌肉腫における肉腫成分の分化様式は多様であり、分化傾向を示さないものから、軟骨や筋肉など特定の間葉系分化を示すものまでさまざまです。さらに、症例間だけでなく、同一腫瘍内においても部位による分化の不均一性が認められます。
細胞の分化は、数万種類に及ぶ同一のゲノム情報の中から必要な遺伝子を選択的に使い分けることで、それぞれ固有の機能を獲得する過程です。この遺伝子発現の選択的制御は、ヒストンバリアントやヒストン修飾、クロマチン構造変換といったエピゲノム制御機構によって担われています。
癌肉腫における分化異常には、こうしたエピゲノム制御の破綻が深く関与している可能性が高いと考えられます。本研究では、クロマチン構造変換を中心としたエピジェネティクス異常と腫瘍内分化の不均一性との関係を明らかにすることを目的としています。これにより、卵巣癌肉腫の発生メカニズムの理解を深め、エピゲノム異常を標的とした新たな標準治療法の確立を目指します。

腫瘍免疫微小環境の解明

近年、種々の癌種でPD-1/PD-L1阻害薬を始めとした免疫チェックポイント分子阻害薬(ICI)が臨床応用された。消化器癌や卵巣漿液性癌においては、三次リンパ組織様構造(TLS)と呼ばれる免疫細胞の集まった構造体が腫瘍内に存在し、予後良好因子であること、TLSと関連したB細胞の腫瘍内浸潤がICIの奏功に寄与することが報告されている。さらに腫瘍特異的T細胞は抗原提示を受け活性化する過程で疲弊し、腫瘍免疫効果が減弱し、ICI療法抵抗性を示すといわれる。
我々は、卵巣胚細胞腫瘍、子宮体癌における免疫微小環境を解明し、新規治療標的を探索しています。

疾患概念の整理

1.卵巣の移行上皮癌は高悪性度漿液性腺癌または類内膜腺癌の低分化な一形態にすぎない

卵巣の移行上皮癌は、2003年版WHO分類によるとブレンナー腫瘍(以下BT)と移行上皮癌(非ブレンナー腫瘍)に分類される。しかしながら、移行上皮癌(以下TCC)が確立された一つの組織型か高悪性度漿液性腺癌(以下HG-SC)の形態の一つなのかは、未解決の問題であった。本研究ではTCCの特徴を明らかにして、上記問題を解決することを試みた。

我々は2003年版WHO分類に基づき35例のTCCを抽出した。そのうち、25例にHG-SCと、6例に類内膜腺癌(以下EC)との混在を認め、4例が純粋なTCCであった。TCCに明細胞癌や粘液性腺癌との混在を認めなかった。悪性のBTは2例のみであった。免疫組織化学的に、純粋なTCC、HG-SCと混在するTCC、そして純粋なHG-SCは、p53の異常発現の頻度が高く、WT1陽性、ER陽性、PR陽性、IMP2陽性となることが特徴で、一方、BTはp53の異常発現を認めず、WT1陰性、ER陰性、PR陰性、IMP2陰性となることが特徴であった。BTとは対照的に、ECと混在するTCCと純粋なECはER陽性、PR陽性の免疫組織化学的所見を示した。分子生物学的には、TP53遺伝子変異を伴う症例で免疫組織化学的にp53の異常発現を認めた。結論として、1)大多数のTCCで主にHG-SCが(図1)、稀にECが混在すること、2)免疫組織化学的及び分子生物学的特徴が、主にHG-SCと、稀にECと似ており、BTとは異なることから、TCCは確立された一つの組織型ではなく、HG-SCまたはECの低分化な形態の一つであると考えられた(図2)。2014年版WHO分類からTCCは削除された。

図1[fig.1]
図2[fig.2]

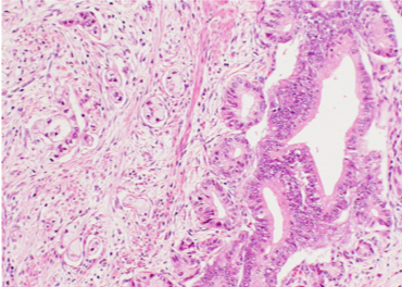
2.通常型と胃型、両方の形態学的特徴を持つ子宮頸部腺癌の臨床病理学的、免疫組織化学的分析とin situ hybridizationによる高リスク型HPVの検出

2014年版WHO分類では、子宮頸部腺癌(ECA; endocervical adenocarcinoma)で新たに”通常型”と”胃型”という亜型が確立された。この二つの亜型は組織発生、HPV感染の有無、予後が異なると考えられている。通常型 (usual type ECA:以降U-ECA) は高リスク型HPV感染に関連し、胃型 (gastric type ECA:以降G-ECA)は高リスク型HPV感染に関連しないと言われる。形態学的には、U-ECAは粘液に乏しい好酸性の細胞質を持ち類内膜腺癌に類似する(類内膜腺癌類似形態)。G-ECAは、粘液豊富で淡明な細胞質を持ち、細胞境界は明瞭である。しかし、通常の診断業務の中で我々は、一つの腫瘍の中に通常型様の形態と胃型様の形態、両方を併せ持つ例を認め、このような例をG+U ECAとした(図1)。本研究では、G+U ECAの臨床病理学的、免疫組織化学的所見とHPV感染の有無を検討し、その本質を解明することを目的とした。我々は70例のECAを最新のWHO分類に従って再分類した。48例のU-ECAと9例のpure G-ECA、13例のG+U ECAを認めた。13例のG+U ECA中10例(77%)がin situ hybridization (以降ISH)で高リスク型HPVが検出されず(HPV非関連のG+U-ECA)、免疫染色所見はU-ECAと類似していた(図2)。その他の3例のG+U-ECAは高リスク型HPV感染が検出され(HPV関連G+U ECA)、免疫染色所見はG-ECAと類似していた(図2)。すなわち大半のG+U ECAは、一部に粘液に乏しく好酸性の細胞質(類内膜腺癌類似形態)を示す通常型様成分を持つ、HPV非関連の真のG-ECAである。少数のG+U ECAは、一部に粘液豊富な細胞質を示す胃型様成分を持つ、HPV関連の真のU-ECAである。従ってG+U ECAは、真のG-ECAと真のU-ECAという2つの異質な疾患を包括する一群を構成すると考えられる。真の混合腫瘍は存在しないと推定される。

図1[fig.1]
図2[fig.2]

参考文献:

  • Takeuchi T, Ohishi Y, Imamura H, Aman M, Shida K, Kobayashi H, Kato K, Oda Y. Ovarian transitional cell carcinoma represents a poorly differentiated form of high-grade serous or endometrioid adenocarcinoma. Am J Surg Pathol. 2013 Jul;37(7):1091-9.
  • Wada T, Ohishi Y, Kaku T, Aman M, Imamura H, Yasutake N, Sonoda K, Kato K, Oda Y. Endocervical adenocarcinoma with morphologic features of both usual and gastric types: Clinicopathologic and immunohistochemical analyses and high-risk HPV detection by in situ hybridization. Am J Surg Pathol. 2017 May;41(5):696-705.
キーワード: