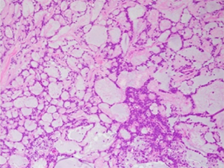
膵臓のsolid-pseudopapillary neoplasm(SPN)は、充実性で偽乳頭状の腫瘍細胞増殖パターンを特徴とする稀な膵腫瘍である。我々は、SPNが小嚢胞構造(microcystic SPN)を示しうることを確認しているが(図)、これについてはあまり研究されておらず、小嚢胞性構造を取りうる漿液性嚢胞腫瘍などの他の膵腫瘍と混同される可能性がある。本研究の目的は、小嚢胞性SPNについて臨床病理学的および免疫組織化学的な特徴を明らかにすることである。

SPN44例を小嚢胞性SPN 13例(29.5%)と典型的SPN 31例(70.5%)に分類し、臨床病理学的解析、免疫組織化学的染色、粘液組織化学的検討を行った。免疫組織化学的には、小嚢胞性SPNは従来型SPNよりもCD10とCD56の発現が有意に少なかった。その他の臨床病理学的および免疫組織化学的特徴(βカテニンとEカドヘリンの核発現、プロゲステロン受容体の発現や、FoxL2およびエストロゲン受容体陰性)に有意差はみられなかった。漿液性嚢胞性腫瘍とSPNの免疫表現型は全く異なっていた。ヒアルロニダーゼ消化アルシアンブルー染色により、小嚢胞性SPNの粘液様間質にはヒアルロン酸が含まれていた。
以上より、我々は小嚢胞構造もSPNの形態学的スペクトラムの一部として認識すべきであると結論付けた。SPNも小嚢胞構造をとりうる膵腫瘍であることを認識することで正しい診断に貢献すると考えられる。さらに、ヒアルロン酸の蓄積による間質の変化がSPNの小嚢胞構造の一因であると我々は推測している。
膵腺扁平上皮癌の中には、唾液腺領域の粘表皮癌(MEC)と形態学的に類似した成分を有するものが認められるが、膵粘表皮癌(Pan-MEC)の定義は明確ではない。WHOでは線扁平上皮癌の同義語とされている。一方で唾液腺領域においては、粘表皮癌(MEC)は広く確立された疾患概念であり、その特異的な遺伝子異常にCRTC1/3-MAML2融合遺伝子が知られている。また、他臓器(肺、子宮頸部)のMECにおいてもCRTC1-MAML2融合遺伝子の存在が報告されているがPan-MECに関する体系的な研究はなされていない。
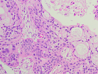
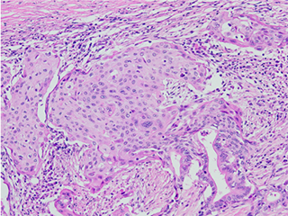
我々は膵腺扁平上皮癌37例を組織学的形態により、膵腺扁平上皮癌NOS(ASC-NOS)症例(図1)とPan-MEC症例(図2)に分類し、両者において融合遺伝子(CRTC1-MAML2及びCRTC3-MAML2)の有無、ムチンコア蛋白(MUC)発現を解析した。
形態学的にPan-MEC症例16例、ASC-NOS21例に分類できたが、両者においてRT-PCR法及びFISH法による融合遺伝子(CRTC1-MAML2及びCRTC3-MAML2)は検出されず、予後を含む臨床病理学的解析、MUC染色では有意差は認められなかった。Pan-MECと唾液腺MECとではMUC5AC、MUC6において有意差があった。
Pan-MECはCRTC1/3-MAML2融合遺伝子を有する唾液腺粘表皮癌の膵臓領域におけるカウンターパートではなく、膵腺扁平上皮癌のバリアントであると結論付けた。
図1[fig.1]
図2[fig.2]